Memahami Ciri-Ciri Jamur di Selangkangan
Penyakit jamur di selangkangan umumnya tidak berbahaya, tetapi dapat berkembang biak dengan cepat dan menyebabkan infeksi serta ketidaknyamanan terutama pada kulit yang hangat dan lembab. Itulah sebabnya jamur kulit lebih sering berkembang di kulit sekitar selangkangan, paha bagian dalam, dan bokong. Jamur di selangkangan paling sering terjadi pada laki-laki dan remaja laki-laki, mungkin karena kelompok ini sering beraktifitas dan sering berkeringat. Infeksi jamur ini menyebabkan ruam yang sering terasa gatal dan pedih. Cara Menghilangkan Gatal Di Daerah Kelamin Laki Laki
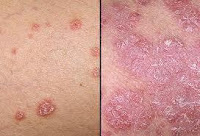
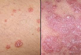
Apa Yang Menjadi Penyebab Eksim?
Penyebab dari eksim sebenarnya belum diketahui dengan pasti, namun beberapa ahli mencurigai eksim berhubungan dengan aktifitas daya pertahanan tubuh (imun) yang berlebihan. Hal ini menyebabkan tubuh mengalami reaksi berlebihan terhadap bakteri atau iritan yang sebenarnya tidak berbahaya pada kulit. Oleh karena itu, eksim banyak ditemukan pada keluarga dengan riwayat penyakit alergi atau asma.
Tiap tiap orang mempunyai pencetus eksim yang berbeda beda. Ada orang yang setelah memegang sabun atau deterjen akan merasakan gatal yang luar biasa, ada pula yang disebabkan oleh bahan atau alat rumah tangga yang lain. Gejala yang timbul pun bervariasi, ada yang gatalnya ringan tetapi rasa panas yang dominan, ada pula yang sebaliknya. Infeksi saluran nafas bagian atas atau flu juga bisa menjadi pencetus timbulnya eksim. Stress yang dialami penderita akan membuat gejala menjadi lebih buruk.
Meskipun penyembuhan eksim sangat sulit dilakukan, namun pada banyak kasus, pasien dapat mengurangi terjadinya kekambuhan dengan melakukan pengobatan yang tepat dan menghindari iritan/alergen yang menyebabkan eksim. Perlu diingat, penyakit ini tidak menular dan tidak akan menyebar dari satu orang ke orang yang lain.
Bagaimana Cara Pencegahannya?
Munculnya eksim dapat dihindari dengan melakukan beberapa tips dibawah ini :
- Jaga kelembaban kulit.
- Hindari perubahan suhu dan kelembaban yang mendadak.
- Hindari berkeringat terlalu banyak atau kepanasan.
- Kurangi Stress.
- Hindari pakaian yang menggunakan bahan yang menggaruk seperti wool dan lain lain.
- Hindari sabun dengan bahan yang terlalu keras, deterjen dan larutan lainnya.
- Hindari faktor lingkungan lain yang dapat mencetuskan alergi seperti serbuk bunga, debu, bulu binatang dan lain lain.
- Hati hati dalam memilih makanan yang bisa menyebabkan alergi.
Cara Mengatasi Gatal di Selangkangan
- Untuk dapat mengatasi gatal pada selangkangan dengan tuntas, langkah awal adalah menentukan penyebabnya. Selanjutnya lakukan langkah berikut ini: Langkah pertama adalah mengobati penyebab yang mendasari seperti jamur maka diobati dengan anti jamur baik cream ataupun obat minum, Dalam hal ini sangat perlu diagnosis dan terapi dari dokter.
- Mengatasi rasa gatal dengan minum obat anti gatal.
- Gunakan pakaian atau celana yang longgar sehingga mengurangi panas dan kelembapan, dan jangan menggunakan celana yang ketat.
- Setelah mandi keringkan daerah selangkangan dengan handuk yang bersih.
- Stop kebiasaan sering pakai baju secara bergantian dengan orang lain.
- Hindari penggunaan produk seperti deodoran di daerah selangkangan atau produk lainnya yang berpotensi mengiritasi kulit dan membuat gatal semakin parah.
- Jangan menggaruk secara rutin dan berlebihan karena akan menambah iritasi dan memperparah gatal yang terjadi.
- Jika diperlukan, terapkan es atau kompres dingin pada selangkangan yang berfungsi mengurangi gatal dan peradangan.
Berikut Adalah Tips Mudah Menyembuhkan Gatal Eksim Dengan Obat Alami Dengan Obat Herbal de Nature
Sembukan segera penyakit gatal anda, anda akan semakin percaya diri, karena semua penyakit pasti ada obatnya .
Bagaimana Cara Mengobati Gatal Gatal Eksim ?
Kami DE NATURE INDONESIA Berusaha
Pengobatan Gatal Eksim Dengan Obat Herbal De Nature
Paket Gatal Eksim Denature indonesia memiliki Obat Gatal Eksim yang efektif mengobati gatal. Terbuat bahan herbal alami diramu dengan resep tradisional dan diolah secara teknologi moderen, sehingga aman dikonsumsi buat semua umur dan obat kami juga telah terdaftar di BPOM dan Dinkes no.442/00060/V-2 jadi anda juga tak perlu khawatir karena Obat Herbal De Nature yang kami tawarkan ini Alhamdulillah merupakan obat yang telah banyak menyembuhkan penderitanya baik dari luar maupun dalam negeri
Untuk Satu Paket Obat Gatal terdiri dari :
Khasiat: Obat Herbal de Nature
Mengobati gatal-gatal pada kulit, eksim, bisul, kudis, kurap, gatal akibat alergi dan jamur pada kulit.dan gatal jenis lainya.
Cara Kerja Obat Herbal de Nature_Untuk kapsul bersih darah, fungsinya untuk membersihkan darah kotor dari dalam. sehingga Kuman atau bakteri yang di sebabkan oleh eksim, kurap, maupun penyakit kulit yang lain bisa terbuang atau dibersihkan dari dalam tubuh kita. Dan untuk salepnya adalah obat luar yang berfunsi untuk menyembuhkan atau mengeringkan penyakit kulit yang anda alami. Dengan perpaudan pengobatan dari luar dan dalam, Insya Allah penyakit anda akan sembuh secara maksimal.
Aturan pakai obat gatal:
OBATI SEKARANG JUGA PENYAKIT ANDA DENGAN OBAT HERBAL KAMI !!!
Kami DE NATURE INDONESIA Berusaha
Membantu Anda Mendapatkan Obat Herbal
Untuk Menyembuhkan Obat Gatal Eksim, Kadas Dan Kudis, Kurab, Gudikan Dan Korengan, Kutuair Proriasis,Dan Disebabkan Gatal Alergi
Pengobatan Gatal Eksim Dengan Obat Herbal De Nature
Paket Gatal Eksim Denature indonesia memiliki Obat Gatal Eksim yang efektif mengobati gatal. Terbuat bahan herbal alami diramu dengan resep tradisional dan diolah secara teknologi moderen, sehingga aman dikonsumsi buat semua umur dan obat kami juga telah terdaftar di BPOM dan Dinkes no.442/00060/V-2 jadi anda juga tak perlu khawatir karena Obat Herbal De Nature yang kami tawarkan ini Alhamdulillah merupakan obat yang telah banyak menyembuhkan penderitanya baik dari luar maupun dalam negeri
Untuk Satu Paket Obat Gatal terdiri dari :
- 2 Botol kapsul bersih darah
- ( yang masing masing botol berisi 50 kapsul )
- 1 Salep eksim
Khasiat: Obat Herbal de Nature
Mengobati gatal-gatal pada kulit, eksim, bisul, kudis, kurap, gatal akibat alergi dan jamur pada kulit.dan gatal jenis lainya.
Cara Kerja Obat Herbal de Nature_Untuk kapsul bersih darah, fungsinya untuk membersihkan darah kotor dari dalam. sehingga Kuman atau bakteri yang di sebabkan oleh eksim, kurap, maupun penyakit kulit yang lain bisa terbuang atau dibersihkan dari dalam tubuh kita. Dan untuk salepnya adalah obat luar yang berfunsi untuk menyembuhkan atau mengeringkan penyakit kulit yang anda alami. Dengan perpaudan pengobatan dari luar dan dalam, Insya Allah penyakit anda akan sembuh secara maksimal.
Aturan pakai obat gatal:
- Kapsul bersih darah diminum 3 x 3 kapsul sehari
- Salep eksim dioles 2x sehari (pagi dan malam menjelang tidur)
- Kemasan: 2 botol kapsul bersih darah & 1 pot salep eksim
UNTUK PEMESANAN ANDA BISA MENGHUBUNGI CUSTOMER SERVICE KAMI
XL:081903400117(082242421190Watsapp Only)Pin BBm57D28855(Layanan Konsultasi dan Pemesanan 24 jam)
KELEBIHAN BELANJA ONLINE PADA KAMI (DE NATURE INDONESIA)
- - Setiap penyakit berbeda obatnya, jadi obat kami khusus untuk penyakit itu sendiri!
- - Harga lebih murah
- - Kualitas terbaik
- - Tanpa perlu pergi ke dokter (tidak malu saat ke dokter, hemat waktu, dll)
- - Tidak perlu disuntik
- - Masa penyembuhannya singkat
- - Proses obat hanya 6 jam
- - Proses pengiriman cepat dan aman
- - Hanya kami yang selalu mengutamakan ke puasan konsumen
- - Barang di kitim lewat Tiki, JNE Kilat dibungkus rapi dan privasi terjamin
Cara Pemesananan / Pembelian :
Kami menitipkan pengiriman barang ke agen pengiriman barang seperti JNE, TIKI, dan PT. POS Indonesia dengan paket cepat/ kilat. Sehingga paket bisa lebih cepat sampai dari pada menggunakan yang reguler. Pengiriman dilakukan setiap jam 10 pagi dan nomor resi akan dikirimkan kepada anda setelah jam 12 siang WIB dan no. resi tersebut dapat di cek secara online untuk mengetahui posisi barang sudah sampai dimana. Kami Melayani Pemesanan Ke Seluruh Wilayah Indonesia dan juga Luar Negeri
Jika Berminat Silahkan Lakukan Pembayaran Melalui Transfer Ke Salah Satu Rekening Kami
Nomer Rekening kami
BCA
8930286525
BNI
0610793290
MANDIRI
180-00-0118460-7
BRI
6785-01-017700-53-4
Semua An. Wawan Setiawan
Silahkan Lakukan pembayaran ke salah satu rekening kami dibawah atas. Tersedia rekening BCA, BRI, BNI, dan MANDIRI
Catatan: Barang akan dikirim jika transfer sudah diterima. Silahkan melakukan pembayaran melalui transfer via bang di bawah ini
Konfirmasi pembayaran melalui SMS ke 081903400117/082242421190 Barang akan dikirim jika transfer sudah diterima Silahkan melakukan pembayaran melalui transfer via bang di bawah ini.
Untuk Biaya Kirim/Ongkir :
- Untuk Wilayah Pulau Jawa Rp 25.000,-
- Untuk Luar Pulau Jawa Rp 45.000,-
- Khusus Untuk Irian Jaya dan Madura Rp 85.000,-
Contoh Konfirmasi Pembayaran
Nama Penerima Paket# Alamt Lengkap # No Tlp # Jenis/Obat Pesanan # Jumlah Pembayaran
Contoh : Dani Saputra # Jl.Garuda No 2546 Kemayoran Jakarta Pusat # 085 869 978 978 # 1 Paket Obat Gatal (selangkangan, eksim, alergi, dll) # Sudah Transfer Rp.320.000 Via Bca An.Sugeng
Kirim via SMS ke 081903400117 Atau Ke 082242421190
Jasa Pengiriman
Pengiriman obat kami kirim melalui jasa penitipan kilat TIKI, JNE dan POS INDONESIA jadi obat kami jamin sampai ditujuan dengan aman. Jika memang tidak sampai, kami akan mengembalikan uang 100%
Kami Memberikan Jaminan
Kalau Tidak Sampai
Uang Kembali 100%
BUKTI RESI PENGIRIMAN
Dijamin Barang Sampai Tujuan
Maaf, kami tidak menerima pertanyaan:
- Mas, nanti kalau saya transfer uangnya, barang tidak datang atau tidak dikirim bagaimana???
- Mas, ini penipuan bukan??? Sekarang kan banyak penipuan???
- Saya kan tidak kenal situ??? Masa saya transfer ke situ? kenal juga ngga???
@ Sekarang jaman Online Bos, kita disini sudah terbiasa belanja Online. Sekarang sudah Jaman Modern, sudah jaman internet, bukan jaman perjuangan lagi. Tinggal beli, tunggu barangnya dirumah. No.resi pengiriman saya smskan. Cek resi pengiriman di Jne atau di Tiki.
*INFORMASI SELENGKAPNYA*
Jika anda masih kurang jelas silahkan kontak kami langsung via Tlp/Sms 081903400117
Barang DIJAMIN sampai ke rumah anda. Hubungi kami apabila menginginkan bukti nomor (resi) pengiriman. No.resi pengiriman saya smskan. Cek resi pengiriman di www.jne.co.id atau di Tiki www.tiki-online.com
Jika anda sudah mengerti cara transaksinya, silahkan sms kami. Tapi jika anda tidak percaya dan takut ditipu mohon jangan sms/tlp.Insya alloh kami bisa membantu.
Barang DIJAMIN sampai ke rumah anda. Hubungi kami apabila menginginkan bukti nomor (resi) pengiriman. No.resi pengiriman saya smskan. Cek resi pengiriman di www.jne.co.id atau di Tiki www.tiki-online.com
Jika anda sudah mengerti cara transaksinya, silahkan sms kami. Tapi jika anda tidak percaya dan takut ditipu mohon jangan sms/tlp.Insya alloh kami bisa membantu.
KEPUASAN PELANGGAN ADALAH PRIORITAS UTAMA KAMI
SEPARAH APAPUN PENYAKIT YANG ANDA DERITA DAPAT DISEMBUHKAN JIKA ANDA MAU BERUSAHA MENGOBATINYA!!
Costemer Servis Cv. De Nature Indonesia
Konsultasikan dan Pemesanan Silahkan , Hubungi Kontak Kami "Melayani sepenuh hati "
Call/Sms
Call/Sms
XL:081903400117
SIMPATI:082242421190Watsapp Only)
Pin BBm57D28855
(Layanan Konsultasi dan Pemesanan 24 jam)
SEGERA SEMBUHKAN PENYAKIT ANDA SEBELUM PARAH, UANG BUKANLAH SEGALANYA .NAMUN KESEHATANLAH YANG UTAMA_SEGERA SEBUHKAN DENGAN OBAT HERBAL BEBAGAI JENIS GATAL DIANTARANYA GATAL SELANGKANGAN EKSIM MENAHUN JAMUR KADAS KUDIS KURAP DAN GATAL ALERGI DAN MASIH BANYAK LAGI















